
Retina Clinic황반변성
연령관련황반변성이란?
나이관련황반변성(AGE-RELATED MACULAR DEGENERATION)이란 시력에 매우 중요한 역할을 하는 망막의 황반부에 나이가 들면서 여러 가지 변화가 동반되어 생기는 질병으로 점점 나빠져서 결국 실명도 할 수 있습니다.
우리 눈 뒤쪽에 위치한 카메라의 필름에 해당하는 망막이라고 하는 신경조직의 중심부위를 말하는데, 이곳에서 빛 자극에 반흥하는 중요한 세포가 밀집되어 있어서 중심시력을 담당하여 생계와 관련된 직장 및 사회활동은 물론, 독립적인 일상생활을 가능하게 됩니다.
최근에는 나이관련황반변성이 세계적으로 실명을 유발하는 주요 원인이 되고 있습니다. 특히 이 질환은 50세 이상의 노년층에서 주로 발생하는데, 우리나라에서도 앞으로 노인 인구가 증가함에 따라서 그 발생빈도가 더욱 증가하리라 예상됩니다. 이미 서구에서는 60세 이상의 인구에서 실명의 가장 주된 원인이 되고 있습니다.
Cause발생원인
나이관련 황반변성의 원인에 대해서는 아직 정확히 밝혀져 있지 않은 상태입니다. 위험한지를 알려진 것으로는 연령(나이가 많은 경우), 혈관계 질환, 흡연, 고콜레스텔롤증, 과도한 광선노출, 낮은 혈중항산화제농도 등이 있습니다.
보고에 의하면 흡연이 다른 위혐인자에 비해서 나이관련 화반변성의 위험성을 거의 2배에서 5배 정도로 증가시킵니다. 공기 중에 금속이 녹슬어 간다든지 사과를 잘라 놓으면 색이 변하는 등의 산화과정을 일생생활에서 많이 볼 수 있습니다.
이와 독같은 현상이 우리 몸안에서도 매일 일어나고 있습니다. 특히 산소가 풍부한 인체의 눈에서, 여러 유해 환경에 의해 "과산소기"라는 반응성 산호화합물이 생성되면 눈의 세포와 조직을 손상시킵니다. 다행히 이러한 과산소기의 독성에 인체는 무방비로 노출된 것은 아니고 "항산화제"라는 물질에 의하여 보호될 수 있습니다. 그러나 유해 요인이 증가하거나, 우리 몸의 황산화제가 부족하게 된다면 과산소기의 공격을 받게 됩니다. 나이관련황반변성은 환경오염 또는 과도한 광선 노출 등 유해 환경 요인이 축척되어 가는데, 우리 몸의 황산화제는 이에 따라 점점 부족해져서 황반이 과산소기에 의해 공격을 받아 손상을 입게 된느 질환입니다. 이렇게 손상을 입은 조직이 침전물을 쌓이면, 눈의 영양공급을 막아 점점 세포가 죽어가고, 결국 시력을 잃게 되는 것입니다.
Catagory종류
나이관련황반변성은 비삼출성(건성)과 삼출성(습성)으 두가지 형태가 있습니다. 비삼출성 형태는 망막에 드루젠이나 망막색소상피의 위촉과 같은 병변이 생긴 경우를 말하며 나이관련황반변성의 대부분을 차지합니다.
이는 보통 심한 시력상실을 유발하지는 않지만 습성 형태로 발전할 수 있습니다. 황반에 있는 시세포가 서서히 파괴되기 때문에 시간이 지날수록 황반의 기능이 떨어지고 중심부 시력이 감소하기 시작합니다. 처음에는 한쪽 눈에서만 생길 수 있는데 나머지 눈도 영향을 받는 경우가 많습니다. 삼출성 형태는 망막밑에 맥락만 신생혈관이 자라는 경우입니다. 이러한 신생혈관은 우리 눈의 망막 중에서 특히 중요한 황반부에 삼출몰,출혈등을 일으켜서 중심시력에 영향을 주며, 발생 후 2개월 ~3년 사이에 실명을 초래하기도 합니다. 삼출성 형태의 황반변성은 진행속도가 매우 빨라서 수주 안에 시력이 급속히 나빠지는 경우가 많습니다.
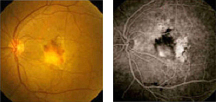
-
혈관신생을 동반한 심출형 나이관련황반변성의 안저사진 및 현광 안저 혈관조형술 사진
Symptom증상
나이관련황반변성의 증상은 초기에는 글자체나 직선이 흔들려 보이거나 굽어져 보이고, 흔히 가까이 있는 물체를 볼 때 비틀려 보일 수 있습니다. 결국엔 시력이 많이 저하되고, 단어를 읽을 때 글자의 공백이 보이거나 ,그림을 볼 때 어느 부분이 지워진 것처럼 보이지 않는 증상(시아중심부에 맹정이 나타남)을 경험합니다.
Treatment진단 및 진료
나이관련황반변성은 일반적으로 일단 시력장애가 시작되면 이전의 시력을 회복 할 수 없는 경우가 많으므로 조기 발견이 매우 종요합니다. 따라서 정기적으로 1~2년에 한번씩 안과의사와 상담하여 이 질환을 조기에 발견하고 적절한 치료를 시작하는 것이 좋습니다.
안전검사를 포함한 안과 검진으로 나이관련황반변성이 의심되면, 형광안저혈관조영술 등의 안과정밀검사들을 시행하여 나이관련황반변성을 진단할 수 있습니다. 전반적으로 나이관련황반변성의 예후는 적절한 치료에도 불구하고 불량한 경우가 많지만 최근에 새로운 치료방법들이 연구 개발되고 있는 중입니다. 예방목적으로 황산화제섭취, 선글라스착용, 심혈관계질환 예방 및 치료등이 도움이 될 수 있습니다. 치료 방법으로는 레이저응고술, 광역학요법, 경동공온열치료법, 의과적수술, 각종 약물치료 등이 있습니다. 개개인의 상태에 적절한 치료방법은 안과의사의 정확한 진단에 의해서 결정하게 됩니다.
Treatment망막(황반)항체주사
망막조직에 생기는 비정상적인 혈관의 생성 및 증식에 관여하는 혈관내피세포 성장인자를 억제하는 항체를 안구 내로 직접 주사하여 혈관증식을 억제하고 망막부종을 치료하는 획기적인 방법입니다. 흔히 사용하는 제품으로는 아바스틴과 루센티스가 있습니다.
Treatment항체주사 대상질환
황반변성 / 당뇨망막병증(신생혈관 및 황반 부종) / 망막혈관 폐쇄증 / 신생혈관녹내장
Treatment치료효과
시력을 감퇴시키는 황반부종을 70%정도에서 가라앉게 하며, 증식성 당뇨망막증인 경우 80%정도에서 신생혈관이 소실되어 진행을 억제시키거나 시력개선 효과를 나타냅니다.
Notices주사방법 및 주의사항
- 01. 안약 마취후 안구내로 직접 주사하는 방법으로 5분정도 걸리고 통증은 거의 없습니다.
- 02. 주사 후 바로 귀가 하실 수 있으며, 안대를 떼고 3시간 후 부터 주무시기 전까지 안약을 1시간 간격으로 점안하시고, 세안은 3일 후 부터 하시면 됩니다.
- 03. 효과는 6주 ~ 8주만 유지되므로 수차례 맞으셔야 하는 단점이 있습니다.
- 04. 시술 후 1,2,7일 후 꼭 경과관찰을 하여야 하고 그 외 시간이라도 충혈 되거나 통증이 심해지면 바로 내원하셔서 감사를 받아야 합니다.
- 05. 망막 질환 항체 주사 치료는 항체를 직접 안구내로 주사하는 매우 간단하면서도 효과적이고, 통증이 없는 새로운 방법입니다.


















